【聯合報╱記者張嘉芳/台北報導】 2011.03.08 02:33 am

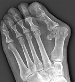
大腳趾外翻,X光片下可見第一蹠骨的角度明顯向外傾斜。
照片提供/江昭慶醫師
不少女性愛穿尖頭高跟鞋,但長期擠壓腳趾,恐使腳趾受力不均,大腳趾外翻變形,連走路都困難。醫師表示,若腳底長繭,大腳趾外翻且指甲不平,建議應就醫檢查。
50多歲王女士先天大腳趾角度比較外翻,因工作緣故,須穿著正式套裝與3吋高跟鞋,因鞋子內部空間小,造成其他腳趾不當受力,而她又常快步走路,使大腳趾向外傾斜角度變大,外翻情形愈來愈嚴重,第二與第三腳趾也因受力不均、長水泡,腳底長繭。
王女士不以為意,直到10多年前,每次出門,無論穿多麼昂貴的鞋,都會磨腳,痛到無法行走,即使腳趾貼OK繃,情況仍無法改善,連布鞋也一樣。就醫檢查發現,她的兩邊大腳趾已嚴重外翻變形,開刀切開蹠骨與矯正調整後,才逐漸恢復。現在她穿鞋走路不再有問題,還計畫挑戰大陸黃山。
選鞋不當、足部外力、走路、長時間站立等因素,將可能導致大腳趾外翻。但台北榮總骨科部主治醫師江昭慶強調,並非所有人穿高跟鞋都會大腳趾外翻,「遺傳才是主要成因」。國外研究顯示,大腳趾外翻患者,約六至九成都是先天遺傳因素造成。
「若大腳趾嚴重外翻,且變形彎曲至第二及第三腳趾頭下方,腳趾頭會類似裹小腳一樣,走路困難。」江昭慶建議,此時必須透過手術矯正。另外,有些患者是因為類風濕性關節炎,關節被破壞導致腳趾嚴重變形,此時應蹠趾關節融合術,破壞腳趾軟骨,矯正形狀後,再固定蹠骨,可自行癒合。
如何判定大腳趾外翻?基本上,除了X光檢查,觀察大腳趾及第一蹠骨角度不超過15度,可判斷大腳趾是否變形。此外,若腳底長繭,或大腳趾指甲不平,且向外轉,還應注意腳趾受力問題,必要時也要治療。
江昭慶建議,鞋子高度勿超過2吋(約5公分),鞋頭以寬圓楦頭為主;若穿高跟鞋,最好別超過2、3小時。
【2011/03/07 聯合報】@ http://udn.com/